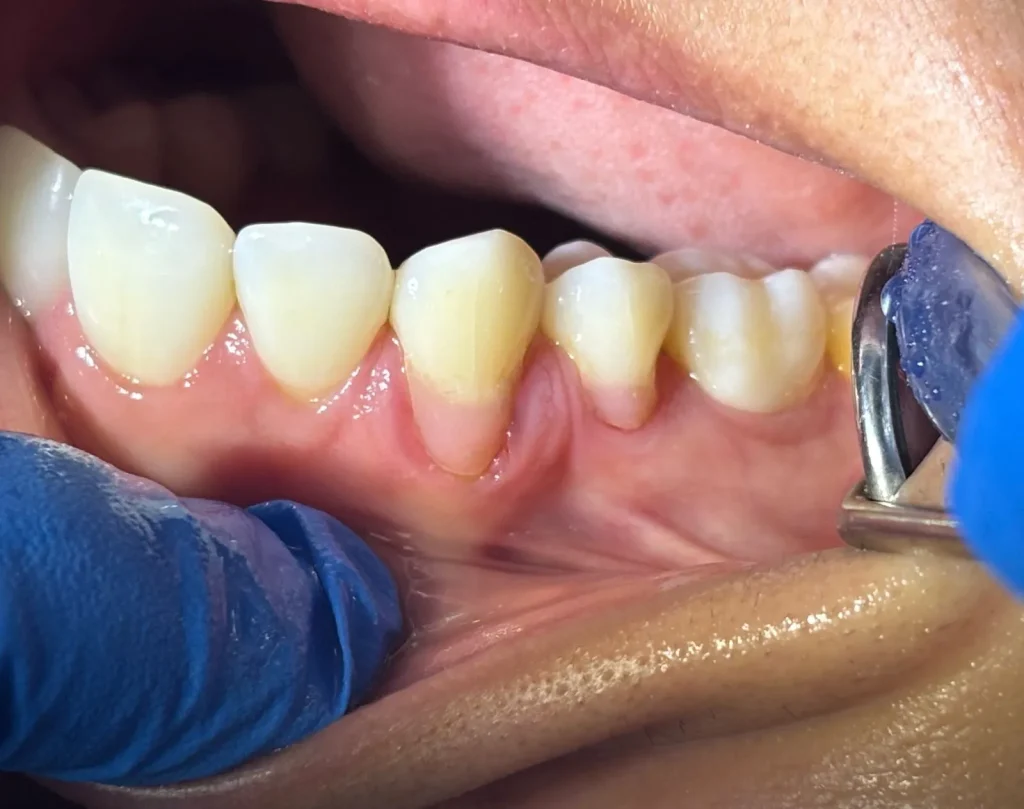
Aunque suele progresar lentamente, es un signo de alarma que indica que algo está afectando la salud periodontal.
Sensibilidad dental al frío, calor o dulce.
Mayor riesgo de caries en la raíz del diente.
Afectación estética de la sonrisa.
Riesgo de progresar a problemas periodontales más serios.
Acúmulo de placa y sarro por exposición de zonas difíciles de limpiar.
El manejo depende del origen y el nivel de retracción:
La retracción gingival no solo afecta la estética, sino también la salud general de tu sonrisa. Detectarla a tiempo evita complicaciones mayores. Una valoración temprana con un especialista es la mejor forma de proteger tus encías y mantener tus dientes firmes y sanos.
Publicado en Familia LópezTrustindex verifica que la fuente original de la reseña sea Google. La atención excelente, el ambiente agradable, cuentan con grandes profesionales. Me siento muy satisfecha con la experiencia en este lugar.Publicado en Jairo SacipaTrustindex verifica que la fuente original de la reseña sea Google. Excellent service. Highly recommended.Publicado en Paulo Morales CastilloTrustindex verifica que la fuente original de la reseña sea Google. Vivo en Alemania y llevo visitando a la Doctora Claudia en Bogotá desde hace ya cinco años. Llegué recomendado por un familiar que ya había trabajado con ella. Debido a un accidente de bicicleta que tuve cuando era pequeño, siempre tuve problemas con un diente. Nunca pudimos hacerle tratamiento de conducto y las posibilidades se volvieron cada vez más escasas para solucionar el problema. Gracias a la Doctora Claudia pude realizarme un tratamiento de endodoncia que me dejó muy satisfecho. Además, me ha realizado tratamientos de limpieza y resinas con excelentes resultados. Hoy en día sigo viniendo todos los años porque su trabajo es difícil de conseguir. Muy agradecido.Publicado en Ana Maria Sarmiento DuarteTrustindex verifica que la fuente original de la reseña sea Google. Muy buena atención y explicación de todo el tratamiento 🥰 un trabajo muy delicado y sin dolor 👌👌Publicado en Paula PolaniaTrustindex verifica que la fuente original de la reseña sea Google. Me encantó el servicio, era mi primera vez aquí. La doctora Claudia es un amor de persona, muy paciente y con un excelente servicio, al igual que Karen en la recepción. Sin duda, mi nuevo lugar de confianza al 100%. ¡Gracias por todo! Nos vemos en 6 meses jiji.Publicado en Francy Elena Gil CuervoTrustindex verifica que la fuente original de la reseña sea Google. Muchas gracias por la atencion tan maravillosa me siento como en casa, muy consentida en todo el proceso de mi ortodoncia y con mucho ánimo a seguir mi renovación y se que el resultado va a ser muy buenoPublicado en Carmen Gloria LopezTrustindex verifica que la fuente original de la reseña sea Google. Super excelente el tratamiento de odontología llegue recomendada x una tía x q también le hicieron un tratamiento odontologico super chevere y yo vengo desde ibague. Recomiendo 100% a la Dra. Claudia Medina
Calle 106 # 56-76 Cons. 202
Edificio Vitalmedica
Bogotá, Colombia
*Aplican Condiciones y Restricciones